
放射線部は、常勤診療放射線技師13名、内3名は女性技師です。
医療において放射線利用が有効で、安全に運用できるように努力します。
画像診断における「読影の補助」に積極的に取り組んでいきます。
マンモグラフィ(乳房エックス線写真)検診施設画像認定(マンモグラフィ検診精度管理中央委員会)
バリウムなどの造影剤を使用して体内臓器の形態、機能をリアルタイムに映像として観察することができます。
平面検出器(FPD:Flat Panel Detector)を搭載したX線TVを使用しているため、高画質で被ばくの少ない検査、治療が行えます。


バリウムと胃を膨らます炭酸の粉(発泡剤)を飲んでいただき、食道から胃・十二指腸までの上部消化管を透視で確認しながら撮影します。

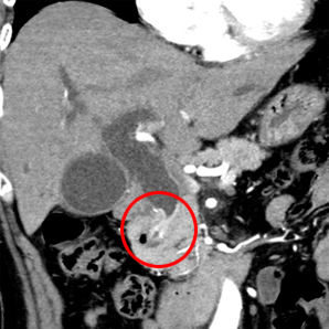
多目的デジタルX線TV装置を用いた胆道系検査・治療、肝腫瘍に対する血管造影検査・治療等を医師、看護師とともにチームで取り組んでいます。


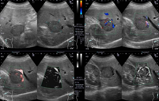
検査用のゼリーを塗りプローブ(探触子)を当てて観察します。
高周波数の音波を腹部にあて、臓器の状態を調べる検査です。心臓や肝臓、胆嚢、膵臓、腎臓、脾臓、乳腺の様子を観察することができます。検査は、X線検査でないので、「被ばく」もなく安全な検査です。
造影検査等の最新技術を用いた精密検査も積極的に行っています。






乳房は柔らかい組織でできているため、専用のX線撮影装置を使用します。乳房を板で挟むため痛みが生じますが、乳房を薄くするほど「被ばく」が減り、きれいな写真を撮影することで、病変の早期発見につながります。検査を受けられる方のご理解・ご協力がとても大切になります。








